Facebook icon
Book Now Book Now Like Us Like us on Facebook Reviews Read Our Reviews Call Give us a Call Map View our Map

Smile Gallery

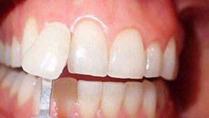
Over the years, Dr. Jorgenson has helped countless patients achieve stunning smile transformation through dedicated restorative and cosmetic treatment plans – and some of these changes definitely have to be seen to be believed! Check out our gallery below to see real “before” and “after” photos, and don’t hesitate to contact us in Costa Mesa if any of these positive results resonate with your own personal dental goals and needs.

More to Explore

About Us Meet Your Dentists Meet Your Dental Team Tour Our Office Community Involvement Advanced Dental Technology View Our Services